2025-01-17
随着生命科学研究的不断深入,高通量测序技术已全面引领科研步入多组学时代 。在追求高影响力科研成果的征程中,科研工作者们纷纷投身于多组学联合分析领域,不断产出高质量学术成果。其中,单细胞转录组与 bulk 转录组联合分析凭借其独特优势,成为极具性价比的研究策略,已助力众多优质论文发表。那么,这两种组学数据究竟如何开展联合分析?本文将为您深度剖析其核心思路与技术要点,带您领略前沿科研魅力。
单细胞测序聚焦于单个细胞层面的转录组信息,而普通转录组测序则反映的是整体样本的转录组概况,二者如何建立联系是关键所在。以下是一些常见的分析思路:
分析思路1:先通过单细胞锁定重要细胞,然后通过流式分选出细胞,然后通过bulk分析找到关键的基因和通路

分析思路2:两组学共聚焦核心因子

分析思路3:TCGA预后分析

联合分析思路1、转录组测序验证单细胞数据分析结果

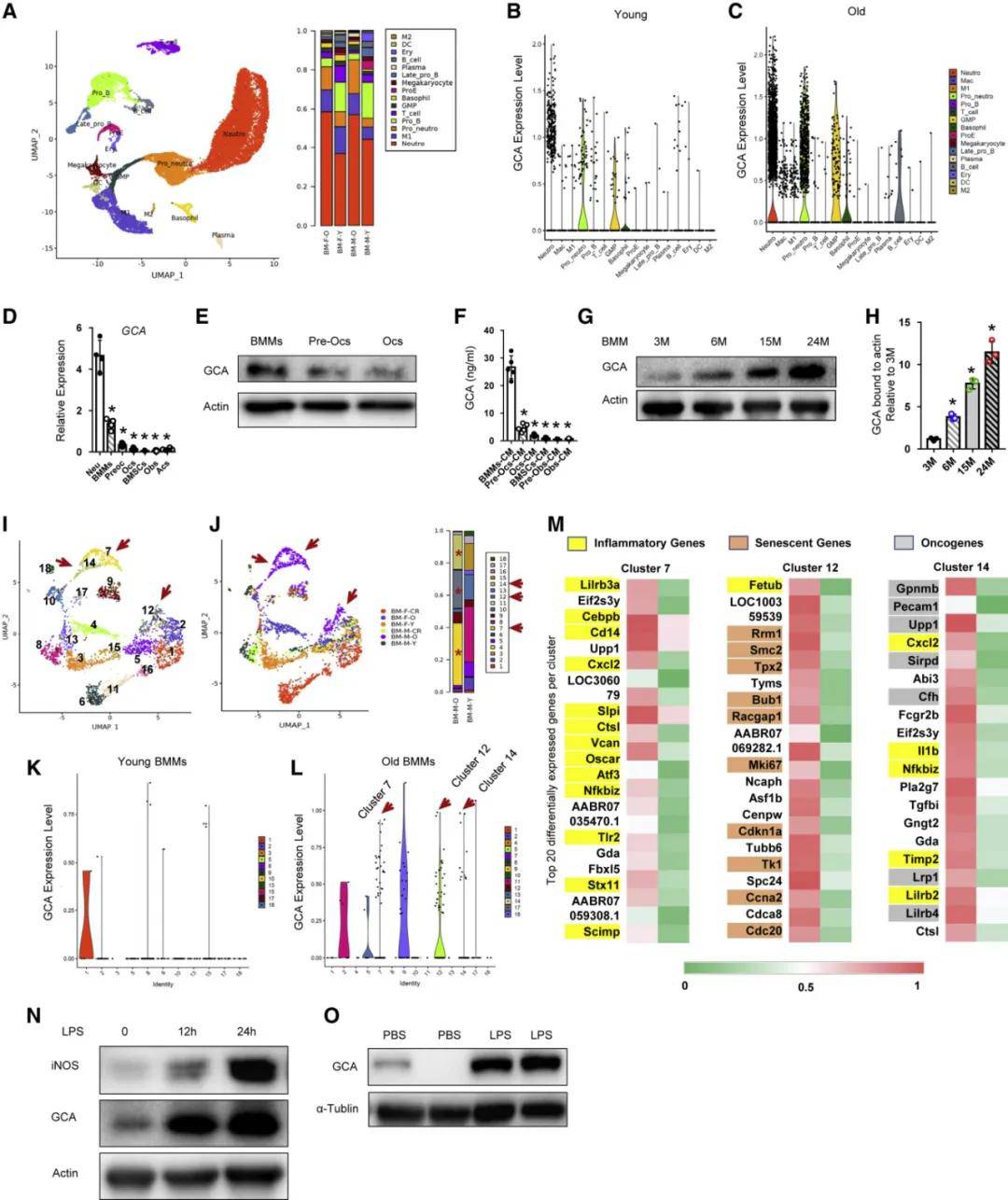
研究方法:蛋白质组、单细胞转录组和转录组
研究思路:
⏩通过蛋白质组学从骨髓上清液中筛选出广钙素( GCA),其与骨骼衰老相关;
⏩单细胞转录组揭示 GCA 主要在衰老免疫细胞中高表达且相关基因与炎症、衰老通路有关;
⏩转录组分析显示 rGCA 处理 骨髓基质细胞(BMSCs) 后影响多种分子通路。
⏩体内外实验证实 GCA 促进骨骼衰老,机制是其与 plexin - b2 受体结合影响信号通路。最终开发的 GCA 中和抗体在老年小鼠中展现出改善骨骼健康的效果 。
结论:本文研究发现,在大鼠和小鼠衰老时,骨髓中促炎和衰老亚型的巨噬细胞与中性粒细胞等免疫细胞会大量累积并分泌粒钙蛋白(GCA);GCA 与骨髓间充质基质细胞的 plexin - b2 受体结合,抑制下游信号通路,致使成骨受抑、脂肪生成增加,从而推动骨骼衰老进程 ;通过构建基因敲除小鼠模型和细胞实验,证实了 GCA 在骨骼衰老中的关键作用;开发的 GCA 中和抗体可改善老年小鼠骨骼健康,为治疗年龄相关骨质疏松症提供了潜在靶点,但研究存在无法排除其他因素影响、未探究其他受体及特定细胞过表达等局限,有待进一步研究。

联合分析思路2、bulk+单细胞取交集筛选关键基因

研究方法:单细胞转录组+转录组
分析思路导图:

结论:本研究整合bulk转录组测序+单细胞转录组测序两种测序数据,发现 271 个共享基因,其 TFs 和 lncRNAs 表达模式与前人研究相符。拟时间模型中, bulk - seq 上调或下调基因在拟时间起点或终点上调,可能是 Osteoarthritis (OA) 进展的生物标志物。交集基因富集通路为 OA 治疗提供潜在靶点,如 HIF - 1 信号通路。转录调控网络中,PTTG1 及其下游基因可能促进炎症,抑制 PTTG1 或有益。此外,CYTOR 与 NRP1 的调控关系可能影响 OA 疼痛和疾病进展,但本研究存在样本年龄和性别差异等局限,需实验验证。

联合分析思路3、基于单细胞数据分析结果进行TCGA分析

研究方法:单细胞测序、bulk转录组测序和WES
分析思路:
样本采集:获取 24 例未治疗胃癌患者的肿瘤及配对正常组织样本。
测序实验:进行批量 WES 和 RNA-seq 以及单细胞 RNA-seq。
单细胞数据分析:确定 11 种主要细胞类型,并细分出 81 种亚型。
联合分析:
⏩整合测序数据并关联分析:借助 genesorteR R 包整合 bulk-seq 与 scRNA-seq 数据,剖析实验组和对照组的转录差异,并探究其与肿瘤样本 bulk-seq 生存率的相关性。
⏩分析特征基因与生存关系:分析细胞亚群特征基因在亚群及样本中的表达差异,明确其与病人生存率的关联,发现抗炎特征表达与生存率的联系,且 CIBERSORTx 反卷积bulk RNA-seq样本得到的巨噬细胞丰度无法预测结果 。
⏩反卷积分析细胞亚型影响:以 scRNA-seq 数据为参照,用 CibersortX 对 TCGA 队列样本 bulk-seq 数据反卷积,分析细胞亚型占比,评估其对病人生存的影响,发现 F13-CTHRC1 等亚型比例高会缩短患者生存时间,cDC1 树突状细胞比例有积极作用,部分内皮和上皮细胞亚型有消极影响。
结论:本研究通过对 24 例胃癌患者肿瘤及配对正常组织进行批量和单细胞 RNA 测序,构建了胃癌肿瘤微环境单细胞图谱。研究发现肿瘤微环境中基质成分显著重塑,EN10 - SERPINE1 内皮细胞和 F13 - CTHRC1 活化成纤维细胞为肿瘤特异性细胞群,它们之间的相互作用可能影响胃癌细胞的血管生成、迁移和上皮 - 间质转化。细胞亚型与患者生存密切相关,M16 - CLEC9A 树突状细胞高表达与患者生存期延长相关,而 F13 - CTHRC1 活化成纤维细胞和 EN10 - SERPINE1 内皮细胞数量增多则与不良预后相关。此外,研究还确定了与免疫治疗反应相关的基因程序,如循环 CD8⁺ T 细胞基因特征对免疫治疗反应具有较高预测性,为胃癌生物标志物的开发和治疗策略的优化提供了新方向 。

