文章题目:Multi-omics analyses of the ulcerative colitis gut microbiome link Bacteroides vulgatus proteases with disease severity
中文标题:多组学用于溃疡性结肠炎肠道菌群中普通拟杆菌蛋白酶关联疾病严重程度的研究
发表期刊:Nature Microbiology
影响因子:19.4
发表时间:2022.01
样本类型:人粪便样本和血清样本
组学技术:宏蛋白组学、宏基因组测序、16S多样性、代谢组学
研究背景
溃疡性结肠炎(UC, Ulcerative colitis),是一种炎症性肠病(IBD, inflammatory bowel disease),以结肠的慢性炎症为特征,黏膜炎症的严重程度、持续性与发病率和死亡率相关。UC是由宿主-菌群稳态的破坏引起的。针对宿主的非特异性免疫抑制剂,如类固醇、硫嘌呤和/或生物制剂,可用于抵消中重度炎症患者的自然病程。然而,这些治疗方法与重大风险相关,并且在充分管理疾病方面往往无效。有许多基于基因组技术的微生物组研究已经确定了与UC的关联,强调了与UC状态相关的微生物失衡和组成的时间变化。虽然最近的研究将UC的微生物群分析扩展到了基因组学之外,但仍然不清楚这些变化在本质上是因果关系还是关联关系。
研究思路

1.发现队列:40名溃疡性结肠炎(UC)患者的粪便和血清的组学数据集;独立验证队列,210份粪便样本,包括 73例UC患者,117 份克罗恩病(CD)患者,20份炎症性肠病(IBD)患者。
2.整合两个队列的数据,研究与UC疾病严重性相关的微生物群落的变化情况。
3.使用Caco-2细胞模型测试UC中六种丰度最高的拟杆菌对肠道屏障的影响,并测试了广谱蛋白酶抑制剂的效果。
4.结合蛋白组学和代谢组学对粪便和血清样本进行分析,从而识别与UC疾病相关的微生物蛋白质和代谢产物。
研究内容
1、宏组学数据与 IBD 严重程度的关联
虽然该研究选用的队列人群来自不同的患者群体,但许多临床严重程度相关的指标显示出高度的相关性。因此,选择了‘partial Mayo’作为 UC 患者临床活动性的代表性指标。临床指标与多组学数据结合分析显示,疾病严重程度与肠道菌群的 α-多样性和 β-多样性都具有显著相关性。该研究团队进一步分析发现,宏蛋白组学的数据能够最好的预测 UC 活性,其次是多组学整合的数据和代谢组学的数据。同时,在活动性 UC 患者中,还观察到了人源蛋白质增加,以及与活动性相关的代谢物类别。

组学多样性与 IBD 疾病活动度相关

IBD 疾病活动性相关的多组学分析
2、综合宏基因组-宏蛋白质组学分析揭示了拟杆菌蛋白酶区分活动性UC患者亚群
利用线性回归模型确定了与临床疾病严重程度最相关的多组学数据特征。从关联的菌属中发现拟杆菌蛋白水平占与 UC 疾病活性正相关蛋白的40%-60%,这一关联性在两个 UC 队列中得到证实,并且是 UC 患者人群中独有的特征。进一步的蛋白功能分析发现,酶家族的比率很高,其中 B. vulgatus 和 B. dorei 蛋白酶占所有拟杆菌蛋白酶总量的40%。该研究团队采用一种异常值方法,将 B. vulgatus 和 B. dorei 宏基因组丰度与来自 B. vulgatus 和 B. dorei 蛋白酶的总蛋白丰度进行比较,以确定存在高于或低于宏基因组学预期蛋白酶存在的 UC 患者组。因此推测这些蛋白酶在胞外蛋白水解和疾病活动加剧中发挥作用。

整合宏基因组-宏蛋白质组分析揭示拟杆菌肽蛋白酶区分活跃UC患者的一个亚群
3、UC患者组学和拟杆菌上清中蛋白水解的评估
代谢组学和宏肽组学分析证实了蛋白水解在UC患者中的重要性。最初是通过鉴定二肽丰度观察到的,二肽丰度是与UC疾病活性相关性第二高的代谢物类别。二肽和寡肽是与疾病活性正相关的代谢产物中最常见的两个化学类别(r > 0.3)分别占总正相关的44%和5.8%。为了进一步分析寡肽,本研究采用从头测序的方法分析了宏肽组学(来自复杂的多物种样本的多肽。结果在严重UC的粪便样本和拟杆菌属蛋白酶生产过剩的患者中发现了更多的肽片段。该数据还揭示了来自人类蛋白质的肽片段的身份,包括来自胶原和粘蛋白的结构蛋白。这些人类蛋白是UC蛋白酶的潜在靶标。已知的中性粒细胞弹性蛋白酶和蛋白酶-327的切割模式并不是识别肽末端的强信号,这表明中性粒细胞蛋白酶可能不是患者蛋白水解的主要贡献者。

评估UC患者和拟杆菌上清的蛋白质水解作用
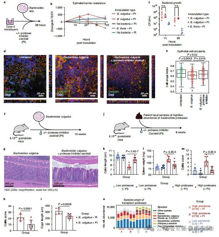
4、蛋白酶抑制在体外和体内均可抑制普通拟杆菌诱导的结肠上皮损伤
使用结肠上皮细胞系 Caco-2 制备单层细胞膜测试了 UC 中六种最丰富的拟杆菌对肠道屏障的影响。结果表明,两种最丰富的拟杆菌属物种(B. vulgatus 和 B.dorei)孵育38小时后,跨上皮细胞电阻(TEER)显著降低。考虑到 B. vulgatus 在 UC 肠道微生物群比健康肠道微生物群中的丰度更高,因此被选择进行重点研究。接下来,通过添加丝氨酸和半胱氨酸蛋白酶的蛋白酶抑制剂混合物来评估蛋白酶活性对上皮通透性破坏的贡献。结果发现,在接种 B. vulgatus 后22小时和38小时,蛋白酶抑制剂显著增加 TEER,且使用或不使用蛋白酶抑制剂混合物处理的 B. vulgatus 集落形成没有显著差异。进一步实验发现 B. vulgatus 上清液对 TEER 没有显著影响,表明目标蛋白酶是膜结合的或者其分泌需要应激源(例如,宿主-微生物相互作用或营养剥夺)的刺激。

蛋白酶抑制对B. vulgatus和粪便移植诱导的体外和体内病理有保护作用
5、UC患者粪便中存在的B.vulgatus蛋白酶将结肠炎严重程度移植到无菌小鼠
为了评估 UC 患者中高水平的 B. vulgatus 蛋白酶的存在对肠道炎症发展的影响程度。将 UC 患者(含有或不含有高水平 B. vulgatus 蛋白酶)的粪便移植到易患结肠炎的 IL10-/- 无菌小鼠。这些小鼠中有一半通过饮用水给予蛋白酶抑制剂混合物(n = 9)。给予富含蛋白酶的粪便样品的小鼠显示出 UC 相关的病理指标,而这些表型在移植缺乏 B. vulgatus 蛋白酶的 UC 患者粪便的小鼠中并不明显。同时,蛋白酶抑制剂混合物显著减轻了移植蛋白酶丰富的粪便样品的小鼠表现出的结肠炎。因此建议蛋白酶抑制作为重度 UC 的治疗干预手段。

粪便移植实验的额外测量
研究结论
本研究通过整合粪便宏蛋白质组学、代谢组学、16S扩增子测序、鸟枪法宏基因组学、宏肽组学和血清蛋白质组学,以及体外和体内验证,证明了微生物组中的某些成员,如B. vulgatus,可能通过蛋白酶活性加剧UC疾病的活动。此外,鉴于本研究的体外和体内实验的前景,为进一步研究拟杆菌属蛋白酶抑制作为UC治疗方法奠定了基础。



















