2021-10-20

期刊:《Science of the Total Environment》
影响因子:7.962
文章题目:Effects of contaminated surface water and groundwater from a rare earth mining area on the biology and the physiology of Sprague-Dawley rats
技术手段: RNA-seq等
派森诺生物与内蒙古科技大学携手合作,于近期在《Science of the Total Environment》上发表了通过转录组探究污染因子对大鼠DNA损伤的分子机制。
稀土矿区位于中国北方内蒙古包头市,是世界上最大的稀土矿床,近几十年来,集约开采、精炼作业、尾矿库处置导致该矿区出现了许多生态环境问题【1,2】。有证据表明,该矿区是中国恶性肿瘤特别是肺癌死亡率最高的地区之一【3,4】。越来越多的学者注意到地下水中的有毒化合物会在生物体内积累和放大,造成长期和慢性的毒理学效应,这是无法通过物理和化学分析方法检测或评估的。因此,生物监测方法越来越受到重视和认可。因此,在本研究中,首先对稀土矿区地表水和地下水中的核心污染物成分进行了分析。然后从宏观到微观(器官-组织-细胞-染色体基因)构建SD大鼠遗传损伤的定量表征分析。最后,确定了地下水污染致遗传损伤的可能分子机制。
技术路线

1、水质成分调查
在研究区共采集了5个水样。S1和S2分别作为主矿400 m和东矿300 m的地下水采集点,这是目前主要的两个矿区。地表水位点(S3-S5)从近到远进行排序,城市饮用水作为标准对照组(样品S)。地下水污染的主要指标为重金属和稀土元素含量高,地表水污染的主要指标为稀土元素、总氮和氨氮(NH4+ -N)含量高。
2、鼠肝脏DNA损伤作用的生物学评价
称重并计算各器官系数,结果显示,对肝脏的影响比对其他器官的影响更为显著。进一步分析了金属元素和稀土元素在肝脏中的积累,部分金属元素(Mn、Ni、Cu、Zn、Cd)和稀土元素(Ce、Sc、Nd、Pr、Gd、Th)的富集差异极显著(p< 0.01)。
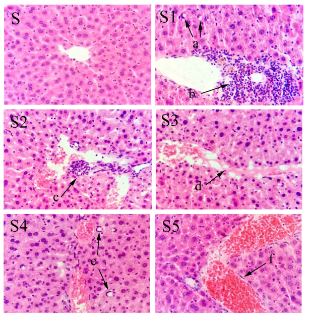
通过对6个处理过的肝脏样本进行免疫组织病理学分析,对照组无异常,而实验组肝组织结构发生炎症细胞浸润,中心静脉和胆管增生的改变,肝小叶中心静脉充血。 特别地,与对照组相比,所有实验组均发现肝脏细胞核大小和核浆不均匀,甚至出现核浆聚集,表明可能存在DNA损伤(图1)。

图1 地表水和地下水对SD大鼠肝组织损伤的评价
采集骨髓细胞,用彗星试验检测DNA链断裂(图5)。统计分析表明,所有实验组的尾DNA %显著增加(p值< 0.01),随着离主矿越近,尾DNA %呈增加趋势。采用骨髓多染红细胞微核试验检测染色体畸变,结果表明矿区周围的地表水或地下水会对SD大鼠造成不同程度的染色体损伤。分析6份水样核心污染成分与同一点处理SD大鼠尾DNA% 的相关性,结果发现,大鼠的DNA损伤是多重污染的,其相关污染因素主要集中在Mn、Co、Ni、Sc、Nb、La、Ce、Pr、Dy和Y。
3、DNA损伤的分子机制鉴定
为了进一步确定DNA损伤效应可能的分子机制,我们使用S1样本处理的SD大鼠肝脏组织进行进一步研究,这些组织在之前的毒理学损伤检测中明显异常。通过高通量测序,共有114个差异表达基因(DEGs),其中上调基因58个,下调基因56个(图2A)。聚类分析热图如图2B所示。结果发现2个肿瘤相关基因(Mmp8和Ltf)显著上调,3个频繁突变的免疫相关基因(Mpo, Slpi和Elane)显著上调。此外,有趣的是,两个DNA损伤相关基因(Ddit4和Gadd45g)的表达下调。

图2差异表达基因火山图(A)和聚类热图(B)
对差异基因进行富集分析,在GO富集分析中,DEG最多的GO term为细胞对含氧化合物的反应(图3A)。KEGG富集分析的结果表明,肿瘤是最主要的途径,其次是信号转导、免疫系统、脂质代谢、免疫疾病等。此外,在细胞进程的类别下中富集最显著的通路与吞噬体和p53通路相关,在环境信息过程中与化学致癌物相关(图3B)。此外,蛋白质相互作用显示了免疫、DNA损伤和代谢相关基因的大量连接,根据STRING数据库进行分析,以揭示靶基因之间的功能关系(图3C)。


图3 差异表达基因的生物信息学分析
根据评分结果和DEGs的生物学功能,本研究中选择了几个参与免疫应答、癌症应答、氧化应激应答和DNA损伤应答的基因成员进行RT-qPCR验证。RNA-seq检测和qPCR检测的基因表达水平趋势一致(图4)。

图4 RT-qPCR验证mRNA-seq结果
实验结论
综合结果表明,一些金属元素(Mn、Zn、Co、Ni)和稀土元素 (Sc、Nb、La、Ce、Pr、Dy和Y)可能对SD大鼠造成明显的DNA遗传损伤。DNA损伤的分子机制表明,DNA损伤诱导基因(Gadd45g和Ddit4)、免疫相关基因(Mpo、Slpi和Elane)和两个肿瘤相关基因(Mmp8和Ltf)可作为一种新的预后和预测生物标志物进行生物安全性评价。总之,本研究不仅揭示了金属元素和稀土元素可能造成的毒理学损伤的分子机制,而且为评价矿区周围水污染风险提供了一种科学的评价方法。
本研究的RNA测序和分析由上海派森诺生物科技有限公司完成

