
2022-01-11

期刊:《Enzyme and Microbial Technology》
影响因子:3.493
派森诺与中国海洋大学合作,在《Enzyme and Microbial Technology》(影响因子:3.493)发表最新研究成果!本研究分离得到了一个抗金黄色葡萄球菌(S. aureus)的强毒噬菌体qdsa002,并表达和纯化了该噬菌体的內溶素(Lys84)及其结构域,发现Lys84对S. aureus具有较强的溶解活性,且比qdsa002具有更宽的杀菌谱,结果表明Lys84及其结构域可能是控制S. aureus及其生物膜的替代抗生素。
研 究 背 景
S.aureus是一种病原体,可引起广泛的急性化脓性感染,如菌血症、心内膜炎、脓肿、脊髓炎和肺炎等。由于耐甲氧西林S.aureus(MRSA)的传播,细菌感染的治疗变得越来越成问题。此前在医院流行的MRSA菌株,现在已知可以传播到外部环境,并已从食物和牲畜中分离出来。S.aureus生物膜由细菌细胞嵌入“糖萼”组成,糖萼主要由细菌胞外聚合物(EPS)组成。EPS可以介导生物膜与表面的粘附,提供机械稳定性,并有助于生物膜内聚三维聚合物网络的建立。细菌生物膜起到保护细菌的屏障作用,降低细菌对抗生素的敏感性,因此抗生素对这些生物膜相关病原体的疗效较差。这些问题正成为食品安全的新问题,迫切需要开发新型的S.aureus和细菌生物膜抗菌剂。
内溶酶是噬菌体在其裂解复制周期结束时产生的水解酶,其能够通过消化肽聚糖聚合物来破坏细菌细胞壁,并导致细菌细胞的低渗裂解。与噬菌体和常规抗生素相比,內溶素具有宿主特异性,无论在细菌处于何种生理状态都能迅速杀死细菌,且不易产生耐药性。此外,內溶素可以杀死嵌入在生物膜基质中的复制和非复制的细菌,从而破坏细菌的生物膜。噬菌体来源的內溶素在对抗革兰氏阳性菌的耐药菌株及其生物膜合成方面具有重大作用。以往的研究主要评估了内溶酶对S.aureus及其生物膜的控制效果,但是关于內溶素及其结构与在溶膜和抗生物膜活性方面的研究很少有报道。本研究分离了感染S.aureus ATCC43300的强毒噬菌体qdsa002,并对其形态和基因组进行了表征。
研 究 材 料 与 方 法
1. 实验材料:青岛市污水中分离得到的强毒噬菌体qdsa002
2. 分析内容:噬菌体基因组测序、噬菌体形态学鉴定、内溶酶基因克隆&表达&纯化和生理生化鉴定等等。
研 究 结 果
1. 噬菌体qdsa002的形态学和基因组分析
使用菌斑纯化技术从青岛市污水中分离得到S. aureus噬菌体qdsa002,TEM显示,该噬菌体是Myoviridae家族的一员,其头部等距,尾部可收缩。将噬菌体qdsa002与Myoviridae家族下的Twort-like噬菌体基因组进行比较,发现其与噬菌体GH15、MSA6、G1、IME-SA1、Sb-1、K和ISP具有较高的同源性(同源性大于62.72%),与其他噬菌体的同源性在36.02% ~ 37.82%之间。对该噬菌体进行高通量测序,结果发现基因组大小为142,499bp,GC含量为30.26%,231个ORF,其中有64个注释到相应的功能。

图1 噬菌体qdsa002的形态图及基因组圈图
2. 噬菌体qdsa002可能內溶素的生物信息学分析、表达和纯化
对噬菌体qdsa002基因组进行生物信息学分析,发现该噬菌体具有由穿孔素和內溶素两部分组成的裂解系统。其中ORF84编码推测为内溶酶(命名为Lys84),该基因具有两个催化结构域:一个CHAP结构域(半胱氨酸和组氨酸以来的酰胺水解酶/肽酶)和一个中心Amidase_2结构域,一个细胞壁结合结构域SH3b。对该基因进行克隆、纯化和表达,获得了更多的Lys84产量;SDS-PAGE发现,表达的Lys84以可溶性蛋白和包涵体的形式存在;纯化出的溶出蛋白Lys84的蛋白带长度约为54K,与预测的分子量(54.8K)相一致。

图2 内溶酶Lys84的鉴定
3. Lys84的裂解活性
使用浊度还原法评估纯化后的Lys84裂解活性,如图所示,所有的样本OD595nm的初始值都接近1.40,5h内,对照组的OD595nm值基本稳定,而2.5、5.0、10和20um Lys84处理组的OD595nm值分别从1.37下降到0.81、0.41、0.21和0.24。

图3 经Lys84处理的S. aureus悬浮液的OD595nm值
4. 噬菌体qdsa002和Lys84的裂解谱
对噬菌体qdsa002和Lys84的裂解谱进行鉴定,结果表明,噬菌体qdsa002能对38株供试菌株中的32株进行裂解,与噬菌体qdsa002相比,內溶素Lys84具有更宽的溶出谱,能够溶解所列出的所有S. aureus菌株。
表1 噬菌体qdsa002和Lys84的裂解谱

5. Lys84的生物膜较少效果
通过扫描电镜观察和结晶紫染色观察Lys84对S. aureus生物被膜的影响,对照组的SEM显示,培养72h后形成的S. aureus生物膜牢固,细胞聚集紧密。与对照组相比,5um Lys84处理组的生物被摸基质和细菌细胞数量显著减少。此外,10um Lys84处理2h后,几乎所有的细菌被摸和细胞都被去除。结果表明,Lys84浓度大于10um时,可以有效去除S. aureus的生物膜。

图4 Lys84对S. aureus生物膜的影响
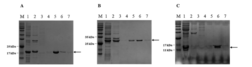
6. Lys84结构域的表达与纯化
分析克隆了3个Lys84结构域,在E.coli BL21中表达并通过亲和层析纯化,CHAP、Amidase_2、SH3b的SDS-PAGE结果显示其分别在18、26、12kda处有一条蛋白带。

图5 SDS-PAGE分析(A)CHAP;(B)Amidase_2;(C)SH3b
7. Lys84及其结构域的裂解活性比较
经Lys84处理的金黄色葡萄球菌悬液及其结构域组合的OD595 nm值如图下图所示,SH3b的对照组和处理组的OD595 nm值差异无统计学意义,表明Lys84的CBD不具有溶解能力。而Lys84及其两个催化结构域CHAP和Amidase_2对S. aureus均具有一定的降解活性,其OD595 nm值分别降低了1.05、0.64和0.62。CHAP和Amidase_2联合应用对细菌光密度的降低显著高于单独应用CHAP和Amidase_2,但仍略低于Lys84。同时,CHAP、Amidase_2和SH3b组合对S. aureus的降解活性有限,仅使菌悬液的OD595 nm值降低0.49。

图6 Lys84及其结构域组合对S. aureus的裂解活性
8. Lys84蛋白及其结构域抗生物膜活性的比较
与对照组相比,Lys84去除了S. aureus生物膜生物量的88.01%。CHAP、Amidase_2和SH3b处理后细菌生物膜丢失的比例分别为74.20%、61.70%和0.52%。同时,CHAP、Amidase_2和CHAP、Amidase_2、SH3b组合分别造成S. aureus生物被膜损失的75.06%和44.30%

图7 Lys84及其结构域组合对S. aureus的抗生物被膜活性
研 究 结 论
本研究发现来自噬菌体qdsa002的溶菌素Lys84对S. aureus及其生物膜具有较强的溶菌活性和抗生物膜活性;Lys84的溶解和抗生物膜活性主要依赖与CHAP和Amidase_2结构域。此外,Lys84需要结构域的组装以获得最佳的构架,从而获得最大的活性。因此,本研究为Lys84及其结构域在食品工业中对S. aureus及其生物膜的应用提供了理论依据和参考。
本研究的denovo测序和部分数据分析由上海派森诺生物科技股份有限公司完成