
2022-08-09

《Microbial Biotechnology》
影响因子:6.57
文章题目:Identification of VdASP F2-interacting protein as a regulator of microsclerotial formation in Verticillium dahliae
技术手段: RNA-seq;LC-MS/MS;RT-qPCR;
派森诺生物与重庆师范大学携手合作,于近期在《Microbial Biotechnology》上发表了VdASP F2互作蛋白作为大丽轮枝菌微菌核形成调节因子的鉴定。
研究背景
大丽轮枝菌(Verticillium dahliae)是一种土壤传播的植物病原真菌,可导致许多作物萎蔫坏死,造成重大经济损失。当受到压力或没有合适的宿主时,这种真菌会产生黑色素化的微菌核,并在土壤中存活20年,直到条件适合感染,这对大丽轮枝菌的生存与繁殖至关重要。在不利的环境条件下,大丽轮枝菌的分泌蛋白VdASP F2的缺失会显著影响微菌核的形成。然而,VdASP F2在微菌核形成中的潜在机制尚不清楚。因此,本研究旨在鉴定大丽轮枝菌VdASP F2互作蛋白,并结合转录组与蛋白组联合分析进一步探索VdASP F2互作蛋白参与大丽轮枝菌微菌核形成的功能。
技术路线


研究结果
VdASP F2蛋白定位于细胞壁
通过观察亚细胞定位实验,结果显示VdASP F2-mCherry没有定位在大丽轮枝菌的细胞膜上,只有少数细胞质区域荧光微弱,这可能表明细胞中没有分泌出蛋白,而m-Cherry表达的菌株细胞质显示出强烈的红色荧光信号。以上结果证实了VdASP F2蛋白定位于大丽轮枝菌的细胞壁上。

图1 VdASP F2蛋白的亚细胞定位
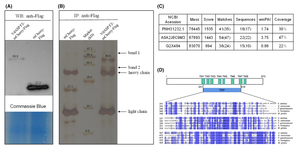
VdASP F2互作蛋白的鉴定
为阐明VdASP F2在逆境条件下调控大丽轮枝菌微菌核形成的机制,利用液相色谱-串联质谱(LC-MS/MS)分析识别潜在的VdASP F2互作蛋白。该分析发现了大丽轮枝菌基因组中含有一个保守的TRP通道域蛋白的同源序列,并将其命名为VdTRP。考虑到VdASP F2定位于细胞壁,其互作蛋白可能只定位于细胞膜或细胞外空间。因此,选择MS评分较高的VdTRP作为VdASP F2的候选互作因子,以供进一步研究。

图2 Pull-down/MS分析表明VdASP F2与VdTRP相互作用
验证VdASP F2-VdTRP互作
为研究VdASP F2与VdTRP之间的互作,进行了双分子荧光互补(BiFC)(图3A)和免疫共沉淀(Co-IP)(图3B)试验。两个试验的结果都证实了这两种蛋白的互作,进一步分析了大丽轮枝菌中VdASP F2与VdTRP蛋白的共定位。

图3 A:BiFC试验。B:CoIP试验。C:重组VdASP F2-mCherryFlag与YFP-VdTRP的亚细胞共定位
真菌生长和对非生物胁迫的易感性
通过敲除突变体和回补菌株来研究VdTRP的功能,与无胁迫条件相比,在山梨醇和刚果红等胁迫条件下,这些菌株径向生长显著减少。然而,与野生型V991和回补菌株相比,VdTRP缺失菌株的营养菌丝生长和菌落形态没有明显差异(图4A)。为研究VdTRP在碳吸收或利用特定碳源过程中对大丽轮枝菌生长的作用,所有菌株在不同碳源的培养基上生长没有表现出明显的菌落形态(图4B)。以上结果表明,VdTRP不参与大丽轮枝菌的非生物抗逆性和碳利用机制。

图4 野生型V991 (WT)、VdTRP缺失突变体(△VdTRP-1/△VdTRP-2)和补充菌株(COM)的菌丝生长
VdTRP参与黑化微菌核的形成,对大丽轮枝菌致病性不是至关重要的
为研究VdTRP在大丽轮枝菌微菌核发育中的作用,在MIM和PDA培养基上培养30 d后野生型V991和回补菌株都产生了显著的黑化微菌核,而VdTRP敲除突变体后没有观察到微菌核(图5A)。为确定VdTRP的毒力作用,对棉花幼苗进行了致病性测定(图5B)。通过对缺失突变体的分析揭示了VdTRP是微菌核产生所必需的,而不是大丽轮枝菌抗逆性、碳利用和致病性所必需的。

图5 A:菌株在固体MIM培养基和PDA培养基上培养。B:用野生型(WT)、VdTRP缺失突变体(△VdTRP-1/△VdTRP-2)和回补菌株(COM)共培养1月龄陆地棉
RNA-seq分析
VdTRP缺失突变体与野生型菌株之间共存在2462个DEGs的功能过程,对这些基因进行GO和KEGG富集分析。在VdTRP缺失突变体的下调基因中,“过渡金属离子结合”,“膜的组成成分”,“膜的内在成分”基因显著富集。这些GO数据与VdTRP的亚细胞定位和分子功能密切相关。此外,与刺激反应相关的基因显著下调,进一步说明了VdTRP与刺激响应存在相关性(图6A)。KEGG富集分析显示,萜类和聚酮代谢途径中有较高比例的基因参与。VdTRP缺失突变体中黑化微菌核形成的缺失与萜类和聚酮代谢途径基因表达下调一致(图6B)。同样,VdTRP缺失突变体中大量跨膜转运蛋白相关基因也高度上调。以上结果进一步分析了VdTRP在微菌核形成中的调控机制。

图6 下调差异表达基因(DEGs)的GO注释和KEGG富集分析
黑色素与微菌核发育的DEGs分析
通过RNA-seq数据分析发现,VdTRP缺失突变体中与黑色素合成和微菌核形成相关的一些差异表达基因显著下调。MAP激酶介导的信号通路间接调控大丽轮枝菌的致病性和微菌核形成。MAPK相关基因VdAc在VdTRP缺失突变体中也存在表达下调。VDECH在微菌核产生培养中表达下调,在微菌核发育过程中受到抑制,该基因在VdTRP缺失突变体中表达上调,证实了此前在VdCmr1缺失突变体中的发现 (图7A)。为证实分析结果的准确性,通过定量逆转录检查了这些基因的mRNA水平,结果与转录组学分析一致(图7B)。

图7 VdTRP缺失突变体及其野生型菌株中黑色素和微菌核生物合成相关基因的转录谱
结 论
本研究首先阐明了VdASP F2定位于细胞壁。利用蛋白质体外结合实验以及液相色谱-串联质谱(LC-MS/MS)分析,确定跨膜离子通道蛋白VdTRP与VdASP F2相互作用的候选蛋白。通过BIFC和CoIP 证实了VdASP F2与VdTRP的互作。通过对缺失突变体的分析揭示了VdTRP是微菌核产生所必需的,而不是大丽轮枝菌抗逆性、碳利用和致病性所必需的。RNA-seq揭示了VdTRP缺失突变体中与黑色素合成及微菌核形成相关的一些差异表达基因显著下调。综上所述,VdASP F2通过与VdTRP互作调控黑化微菌核的形成。
本研究中转录组与蛋白组的测序和分析由上海派森诺生物科技有限公司完成。
参考文献:Guo C, Yang X, Shi H, Chen C, Hu Z, Zheng X, Yang X, Xie C. Identification of VdASP F2-interacting protein as a regulator of microsclerotial formation in Verticillium dahliae. Microb Biotechnol. 2022 Jul;15(7):2040-2054. doi: 10.1111/1751-7915.14066.