2025-05-25

BSA性状定位测序相关的多组学联合分析再添高分文章啦~
近日,沈阳农业大学在《The Plant Journal》期刊发表新研究成果! 在蔬菜育种中,开花时间直接决定产量与品质。中国大白菜若过早抽薹(开花),会导致叶球松散、商品性骤降;而晚抽薹则能延长营养生长,提升产量。然而,调控这一性状的分子机制长期成谜。 表观修饰(如H3K27me3)如何 影响开花基因?如何通过 基因定位技术快速锁定关键基因 ?本文研究团队最新研究通过BSA混池分析(MutMap)结合表观遗传学 ,揭开了这一谜题,为解析中国大白菜开花时间的表观遗传调控提供了新见解。
本研究的测序和部分分析由上海派森诺生物科技股份有限公司完成。
研究背景
开花(抽薹)是植物从营养生长转向生殖生长的关键转折点,直接影响作物的产量和品质。对于叶菜类蔬菜(如中国大白菜)而言,过早抽薹会导致叶片松散、商品性下降,而适当延迟抽薹则能延长营养生长,提高产量。因此,解析抽薹时间的调控机制,对培育抗抽薹大白菜品种至关重要。
本研究聚焦于一个EMS诱变的突变体M1407,该突变体表现出显著的晚抽薹表型,尤其是在春化处理后。利用BSA混池分析(MutMap)结合表观遗传学手段,团队成功锁定关键基因BrSWN(PRC2复合体的催化亚基),并揭示其通过调控H3K27me3修饰影响开花抑制基因BrFLC2/BrFLC3的表达,从而决定抽薹时间。这一发现不仅填补了大白菜开花表观调控的空白,也为分子设计育种提供了新靶点。
研究材料与方法
1.实验材料:选取39株晚抽薹F₂个体混池,与亲本“FT”和M1407进行测序。
2.测序平台:Illumina
3.分析内容:Mutmap、RNAi沉默、酵母双杂交(Y2H)、CUT&TAG等技术多维度验证基因功能。
研究结果
BSA定位的精准与表观调控的奥秘
BSA一锤定音:BrSWN突变导致晚抽薹
为进行遗传分析,将野生型'FT'与突变体M1407杂交获得F1代群体,其抽薹时间与'FT'相似。BC1群体(F1×'FT')表现为正常抽薹表型,而BC1(F1×M1407)则呈现野生型与突变表型的分离,比例为1.11:1(χ²=0.52<χ²0.05=3.84)。在F2群体中,361株表现正常抽薹,117株表现晚抽薹,分离比为3.08:1,符合孟德尔单基因隐性遗传规律(χ²=0.07<χ²0.05=3.84)(表1)。这些结果表明晚抽薹表型由单个隐性位点控制。
基于F2群体的39个晚抽薹子代,基于SNP指数(≥95%分位数)的BSA分析,锁定A09染色体4.4 Mb候选区间,发现BraA09g002300.3.5C(BrSWN)的错义突变(R725H)。

图1 晚抽薹突变体M1407的鉴定及其MutMap SNP-index
BrSWN基因的分析
BrSWN基因全长4457 bp,包含17个外显子和16个内含子,其编码区(CDS)长2502 bp,可编码833个氨基酸。在M1407突变体中,该基因第12外显子发生G→A单碱基替换,导致第725位氨基酸由精氨酸(Arg, R)变为组氨酸(His, H)。综合序列特征、蛋白结构域、进化分析和结构预测,推测该SNP通过改变BrSWN的催化活性导致表型变异。

图2 BrSWN的序列比对与蛋白结构分析
表观遗传调控:H3K27me3的“沉默艺术”
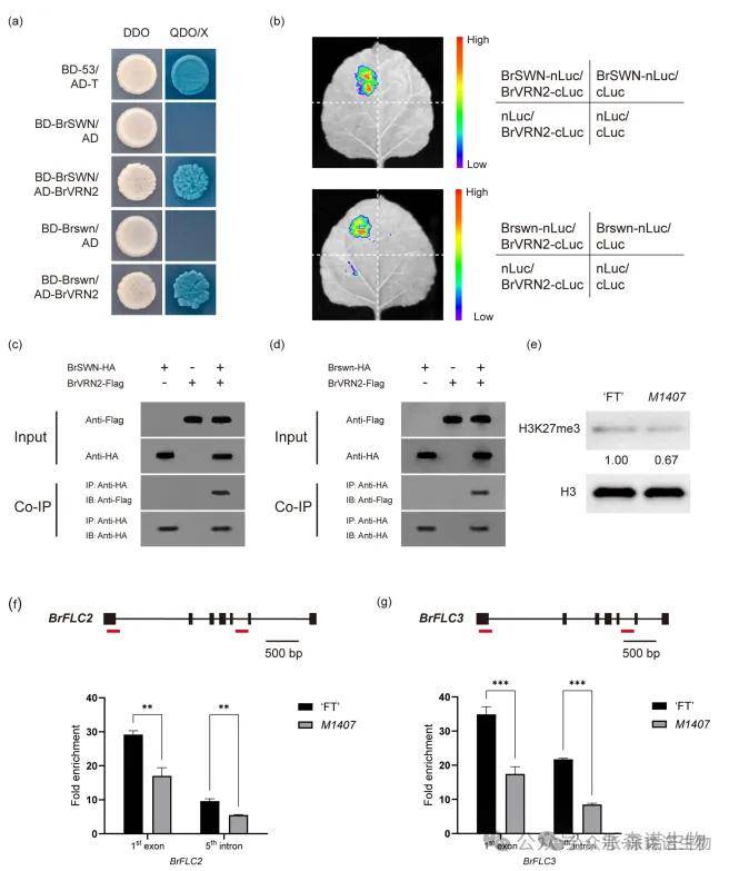
BrSWN是拟南芥AtSWN的同源基因,作为一种H3K27甲基转移酶,通过催化H3K27me3修饰来抑制靶基因表达。WB结果显示,M1407中H3K27me3整体水平显著降低(图3e);CUT&TAG技术定量分析显示,BrSWN突变导致BrFLC2/BrFLC3位点H3K27me3富集减少,解除基因沉默。这些结果证明,BrSWN特异性调控BrFLC2和BrFLC3位点的H3K27me3修饰沉积,而这种表观遗传标记的正确建立对中国大白菜开花调控至关重要。

图3 BrSWN与BrVRN2蛋白复合体的该突变导致BrFLC2/BrFLC3的H3K27me3水平降低
上游调控网络:BrBPC6的“刹车”作用
Y1H和EMSA实验证实,转录因子BrBPC6通过结合BrSWN启动子TCTC motif抑制其表达,形成“BrBPC6-BrSWN-BrFLC”调控轴。GUS反式激活实验进一步表明,35S::BrBPC6与proSWN共转化时,GUS活性较单独转化proSWN显著降低(图4e)。这些结果证明BrBPC6可通过体内结合BrSWN启动子抑制其表达。

图4 BrBPC6通过结合启动子抑制BrSWN的转录表达
结 论
本研究通过BSA混池分析快速定位BrSWN基因,结合表观遗传学揭示了PRC2复合体通过H3K27me3修饰动态调控开花的机制。这一发现不仅为培育抗抽薹大白菜品种提供分子靶点,更展示了BSA技术在复杂性状基因定位中的高效性!
综合研究结果,本文提出SWN-PRC2复合体介导的转录抑制模型:野生型中,BrSWN-PRC2复合体在BrFLC2和BrFLC3位点沉积H3K27me3修饰,高水平的H3K27me3抑制BrFLC2/BrFLC3表达,从而维持正常抽薹时间;而在M1407突变体中,BrSWN突变导致其催化H3K27me3能力降低,无法有效抑制BrFLC2/BrFLC3表达,最终导致抽薹延迟。鉴于BrFLC2和BrFLC3在抑制开花时间中的关键作用,本研究揭示SWN-PRC2复合体在大白菜开花时间调控中具有重要功能。

如需进一步讨论,欢迎发邮件或者致电我们哟
文章索引:Zifan Zhao.,Chong Tan.,Jiamei Zhang., et al.BrSWN mutation reduces the H3K27me3 level at the BrFLC2 and BrFLC3 loci and confers a late-bolting phenotype in Chinese cabbage. Plant J. 2025 Apr;122(1):e70151.doi: 10.1111/tpj.70151.

