
2023-08-29

《Advanced Science》
影响因子:15.1
文章题目:Chlorogenic Acid Ameliorates Post-Infectious Irritable Bowel Syndrome by Regulating Extracellular Vesicles ofGut Microbes
技术手段:16s;代谢组;蛋白组
南昌大学第二附属医院在《Advanced Science》上发表了绿原酸通过调节肠道微生物的细胞外囊泡改善感染后肠易激综合症。
本研究的蛋白组、代谢组和16s的测序及部分数据分析工作由上海派森诺生物科技股份有限公司完成。
研究背景
感染后肠易激综合征(PI-IBS)发生于急性感染性腹泻后,其发病机制可能与生物失调有关。人类肠道复杂的微生物群直接或间接地影响着宿主的健康。本文研究了绿原酸(CGA)在缓解大鼠PI-IBS中的作用,这是一种具有多种药理特性的天然化合物。直肠给药CGA通过调节肠道菌群及其代谢产物缓解PI-IBS,阐明肠道菌群在PI-IBS发病机制中起关键作用。添加CGA显著提高了粪便中产酸拟杆菌的丰度和甘氨酸水平。原核细胞和真核细胞之间的生物信号交换主要是通过细胞外囊泡(EVs)的分泌,甘氨酸结构改变Bacteroides acidifaciens 胞外囊泡(EVs)并富集胞外囊泡中的功能蛋白;甘氨酸诱导的EVs通过减轻肠道脏器炎症和超敏反应,维持黏膜屏障功能从而减轻PI-IBS。因此,CGA通过肠道微生物群及其代谢产物介导来缓解PI-IBS。本研究提出了一种肠道微环境与宿主之间信号交换的新机制。
技术路线

研究结果
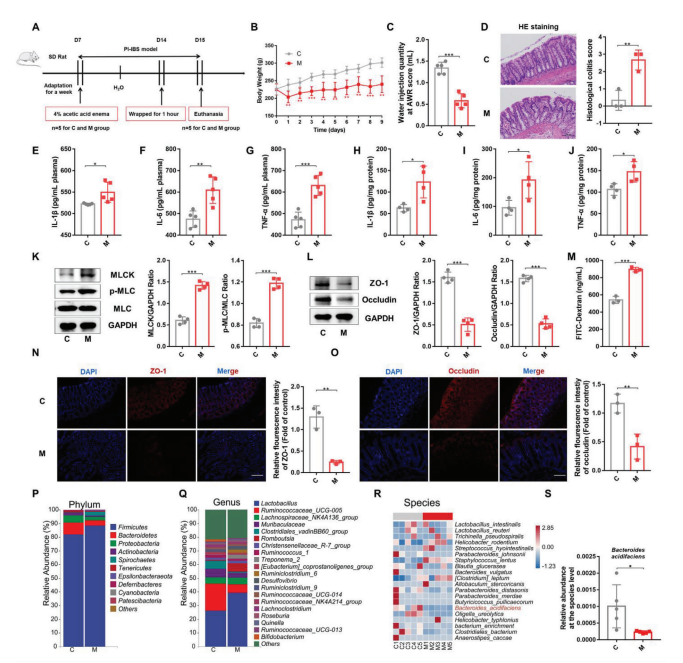
1. PI-IBS大鼠肠道菌群紊乱的观察
构建大鼠PI-IBS模型,发现PI-IBS大鼠,体重显著降低、内脏敏感性增加(图1D)。白细胞介素(IL)−1𝛽、IL-6和肿瘤坏死因子(TNF)-𝛼的表达在PI-IBS大鼠(M组)显著升高(图1E-J)。aa刺激大鼠肌球蛋白轻链激酶(MLCK)和磷酸化肌球蛋白轻链(p-MLC)的上调和肠上皮TJ蛋白(ZO-1, occludin)的下调(图1K,L)。PI-IBS大鼠肠道通透性增强(图1M)。
通过16S rRNA基因测序,探讨了正常组(C)和PI-IBS组的肠道菌群组成的差异。在门水平上,两组粪便微生物群样本中Firmicutes、Bacteroidetes和Proteobacteria均为优势门;在属水平上,两组均以Lactobacillus、Ruminococcaceae和Lachnospiraceae为主;在物种水平上,B. acidifaciens, Akkermansia muciniphila和Pseudomonas xiamenensis 在PI-IBS组中减少,而Staphylococcus lentus的丰度显著增加(图1P-R)。上述结果揭示,4%AA联合束缚应激可导致大鼠内脏敏感、炎症反应、肠道黏膜屏障损伤和肠道菌群紊乱。

图1直肠给药AA诱导大鼠PI-IBS并引起肠道菌群紊乱
2、直肠给药CGA减轻AA诱导的大鼠PI-IBS
为研究CGA的作用,PI-IBS大鼠直肠给药CGA 1周。与PI-IBS大鼠(M组)相比,CGA治疗后显著减轻PI-IBS大鼠内脏敏感性、炎症反应及黏膜损伤(图2)。

图2 直肠给药CGA减轻AA诱导的大鼠PI-IBS
3、CGA粪菌移植(FMT)减轻大鼠PI-IBS症状
通过将PI-IBS大鼠直肠给药后的粪便菌群移植给受体大鼠来验证CGA暴露的肠道菌群对PI-IBS的影响。与正常大鼠(KC)和给药CGA(KT)组相比,PI-IBS粪便(KM)组体重下降(图3B),内脏敏感性升高(图3C)。炎症细胞浸润了KM组的结肠组织(图3D)。与KM组相比,KC组FMT后症状有所缓解,其中KT组症状改善最为显著。结果表明,CGA处理大鼠的粪便移植可抑制PI-IBS模型中内脏敏感性增加、炎症反应和肠黏膜屏障受损。因此,CGA对PI-IBS模型的缓解作用可能是通过调节肠道菌群或其代谢产物来介导的。

图3 CGA-FMT减轻大鼠PI-IBS症状
4、CGA挽救了PI-IBS大鼠肠道产酸拟杆菌的损失和甘氨酸水平
通过对大鼠粪便微生物进行16S rRNA基因测序法。发现在门水平上, Firmicutes, Bacteroidetes和 Proteobacteria是粪便微生物群样本中的优势门(图4E)。在属水平上,粪便微生物群以Muribaculaceae, Lactobacillus和 Prevotella为主(图4F)。在物种水平上,Lactobacillus intestinalis, L. reuteri,和 Allobaculum stercoricanis 是粪便微生物群中的优势种(图4G)。
通过对PI-IBS和CGA处理的大鼠粪便样本进行了非靶向代谢组学分析。在PI-IBS大鼠中鉴定出了24种代谢物。10种表达下调,14种表达上调(图4I)。KEGG富集结果表明,这些代谢产物主要参与氨基酸相关代谢,包括缬氨酸、亮氨酸和异亮氨酸的生物合成和降解 (图4J)。对24种代谢物进行分类,发现17.376%、16.667%和15.957%的代谢物分别为脂类、碳水化合物和氨基酸(图4K)。进一步分析了两组间显著不同水平的氨基酸,发现CGA处理的大鼠与PI-IBS处理的大鼠相比,甘氨酸含量显著增加。这些结果表明,CGA直肠给药改善了肠道代谢产物的组成,特别是提高了甘氨酸水平。

图4 CGA增加了PI-IBS大鼠肠道产酸拟杆菌的丰度和甘氨酸水平
5、甘氨酸诱导的EVs (GEVs)恢复体外结肠上皮屏障功能
为了进一步研究EVs在微生物-宿主相互作用中的作用,将EVs与Caco-2细胞共孵育后,红色dil信号被细胞吸收并在核周区积累(图5B)。研究发现EVs抑制了Caco-2细胞中MLCK/p-MLC信号通路关键蛋白表达(图5C),促进了细胞间TJ蛋白(ZO-1和occludin)表达(图5D)。免疫荧光技术在Caco-2细胞中也得到了相同的结果(图5E和F)。此外,甘氨酸可以诱导B. acidfaciens EVs的形成,EVsv和GEVs均可进入Caco-2细胞,但GEVs比EVs更能促进肠上皮屏障功能的修复。

图5 甘氨酸诱导的产酸拟杆菌 EVs对体外结肠上皮屏障功能的恢复作用
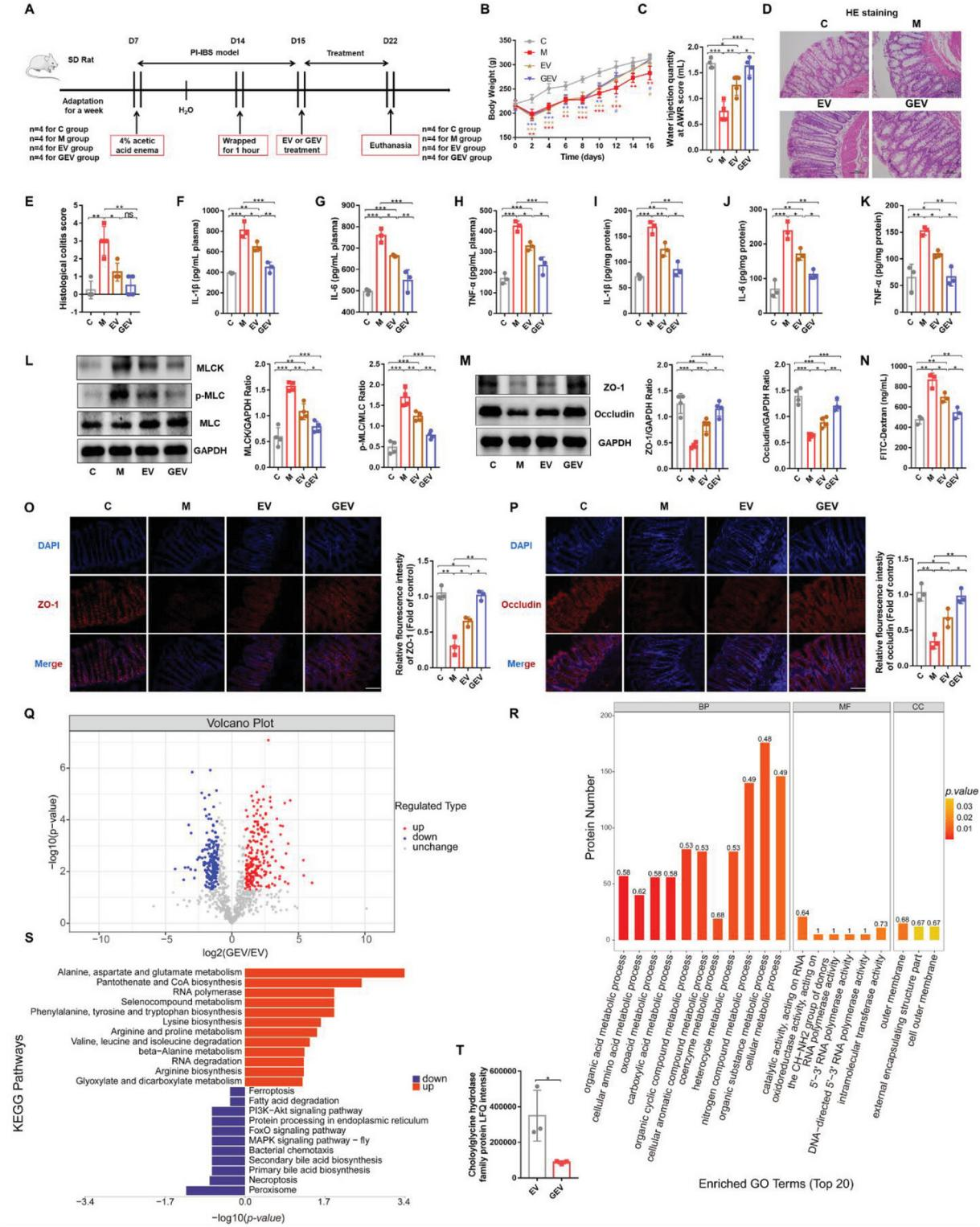
6、甘氨酸通过改变产酸拟杆菌EVs的蛋白谱改善大鼠PI-IBS症状
与EV组相比,GEVs显著减轻PI-IBS大鼠的体重,增强了内脏敏感性(图6B、C)。GEVs在降低促炎因子(IL-1𝛽、IL-6和TNF-𝛼)水平方面的作用更显著(图6F-K)。MLCK/p-MLC信号通路蛋白、肠上皮间质TJ蛋白(ZO-1和occludin)和血清FITC-dextran水平显示,GEVs在增强粘膜屏障完整性方面的作用更为明显(图6L-N)。
之后,对非甘氨酸诱导(EVs)和甘氨酸诱导(GEVs)的EV进行了蛋白质组学分析,添加甘氨酸导致208个差异表达蛋白(DEPs)上调,183个差异表达蛋白下调(图6Q)。GO富集分析表明,DEPs主要集中在细菌的生物过程中。KEGG途径分析表明,GEVs的DEPs主要上调了一些氨基酸代谢相关途径,包括丙氨酸、天冬氨酸和谷氨酸代谢、泛酸和辅酶a的生物合成以及苯丙氨酸、酪氨酸和色氨酸的生物合成,表明甘氨酸最有可能影响EVs代谢。此外,甘氨酸下调了EVs中常见的信号通路PI3K/Akt信号通路、FoxO信号通路和MAPK信号通路-fly,并影响胆汁酸代谢,包括二级胆汁酸生物合成和初级胆汁酸生物合成,由此可见,与未诱导的EVs相比,GEVs的蛋白质组成发生了巨大的变化,最终改变了其生物学功能。

图6甘氨酸通过改变产酸拟杆菌EVs的蛋白谱改善大鼠PI-IBS症状
结 论
这项研究中,研究了肠道菌群在PI-IBS大鼠模型中的作用,证实了CGA对PI-IBS症状有缓解作用。使用16S核糖体RNA (rRNA)基因测序和非靶向代谢组学筛选可能与CGA对PI-IBS症状影响相关的候选细菌和代谢物,并通过候选细菌(B. acidifaciens)和代谢物(glycine)移植验证结果。体外实验表明,细菌EVs可能是B. acidfaciens和甘氨酸之间的潜在联系。最后,确定肠道菌群产生的EVs在PI-IBS大鼠的炎症反应、肠道内脏超敏反应和粘膜屏障功能的发展中发挥调节作用,是由特定的代谢物诱导的。对非甘氨酸诱导(EVs)或甘氨酸诱导(GEVs)的EV进行了蛋白质组学分析,证明了甘氨酸诱导的产酸拟杆菌 EV可以缓解PI-IBS症状并进入脑组织发挥潜在的调节作用(图7)。
原文索引:
Zheng, C., Zhong, Y., Zhang, W., Wang, Z., Xiao, H., Zhang, W., Xie, J., Peng, X., Luo, J., Xu, W., Chlorogenic Acid Ameliorates Post-Infectious Irritable Bowel Syndrome by Regulating Extracellular Vesicles of Gut Microbes. Adv. Sci. 2023, 2302798. https://doi.org/10.1002/advs.202302798